
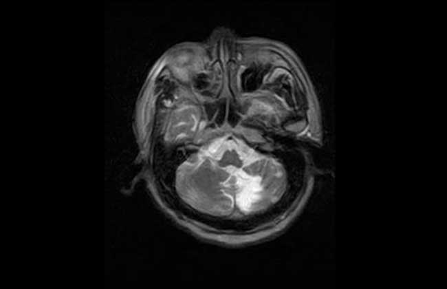
企鹅病就是指遗传性小脑性共济失调,是所有报道的共济失调中最多的一种,发病机理未明,病变主要累及小脑,但脊髓及颅神经也可部分受累,患者行走如企鹅般摇摇晃晃,遗传方式为常染色体显性遗传,男女发病率无明显差异。
临床表现

1、多在30~60岁起病,少数在少年期或70岁时发病。有常染色体显性遗传的家族史,常以共济失调步态为首发症状,行走不稳,易跌倒,此后可逐渐出现双上肢共济失调。
2、部分病例可有吞咽困难、失音、言语障碍、情绪不稳、智慧衰退等,也可有复视、眼球活动障碍等。
3、双下肢无力,肌张力增高,腱反射亢进或减退,可有病理反射阳性。
4、无弓形足及心脏异常。
诊断鉴别

1、发病年龄较迟,有常染色体显性遗传的家族史。
2、进行性加重的共济失调,步态为醉酒样。
3、无心脏异常及弓形足,骨骼X线照片常正常。
4、排除其他类型的共济失调,排除脑瘫和运动神经元疾病及癌性小脑共济失调。
复健治疗

1、尽量保持与社会接触,争取生活平衡。
2、选择适合自己的工作和生活方式,尽可能与别人多交往,保持愉悦的心理状态。
3、选择适合自己体能状态的运动,以维持心肺耐力、肌力,使身体的柔软度处于最佳状态。
4、注意生活起居,不要固定在相同的姿势太久,常常活动手脚。
5、接受物理治疗、职业治疗或言语治疗,用以舒缓病情。
6、亲人的爱心照顾可增强患者的生命力。
