
结核性胸膜炎是结核杆菌及其自溶产物、代谢产物进入超敏感机体的胸膜腔而引起的胸膜炎症,属肺外结核病,常见病因为结核杆菌感染,2000年被卫生部批准的我国新的分类法则将其分类为结核病的第四类型,下面我们就一起来看一看结核性胸膜炎传不传染吧!
结核性胸膜炎传染吗?

结核性胸膜炎是否具有传染性主要还要看是由何种原因而引发的,引发结核性胸膜炎的病因很多。如果不是肺结核引发的则不会传染,这是因为胸膜没有对外通道,是封闭的。如果是肺结核引起的,那么就会通过肺部对外传染。建议大家如陪同家人就诊时或外出时,需戴上口罩,以免细菌侵入自己的体内,造成更多疾病隐患,危及自己及家人的健康。
结核性胸膜炎的病因

结核性胸膜炎是结核杆菌首次侵入机体所引起的疾病,引起结核性胸膜炎的途径有①肺门淋巴结核的细菌经淋巴管逆流至胸膜。②邻近胸膜的肺结核病灶破溃,使结核杆菌或结核感染的产物直接进入胸膜腔内。③急性或亚急性血行播散性结核引致胸膜炎。④机体的变应性较高,胸膜对结核毒素出现高度反应引起渗出。⑤胸椎结核和肋骨结核向胸膜腔溃破。因为针式胸膜活检或胸腔镜活检已经证实80%结核性胸膜炎壁层胸膜有典型的结核病理改变。因此,结核杆菌直接遍及胸膜是结核性胸膜炎的主要发病机制。
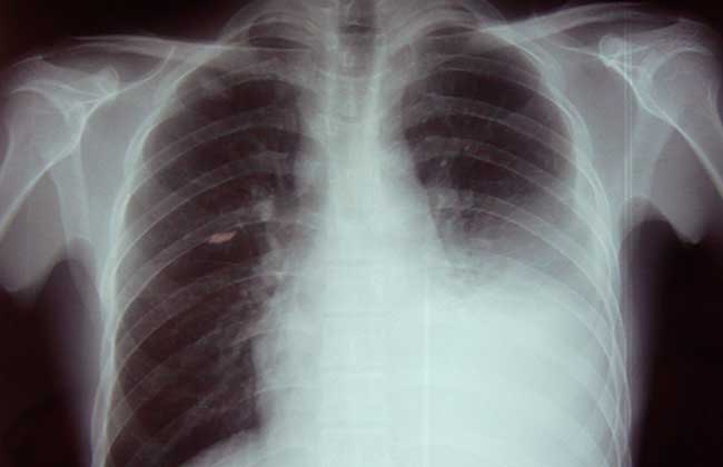
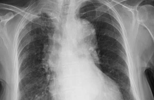
结核性胸膜炎的症状

大多数结核性胸膜炎是急性病,症状主要表现为结核的全身中毒症状和胸腔积液所致的局部症状。结核中毒症状主要表现为发热、畏寒、出汗、乏力、食欲不振、盗汗。局部症状有胸痛、干咳和呼吸困难。胸痛多位于胸廓呼吸运动幅度最大的腋前线或腋后线下方,呈锐痛,随深呼吸或咳嗽而加重。由于胸腔内积液逐渐增多,几天后胸痛逐渐减轻或消失。积液对胸膜的刺激可引起反射性干咳,体位转动时更为明显。积液量少时仅有胸闷、气促,大量积液压迫肺、心和纵隔,则可发生呼吸困难。积液产生和聚集越快、越多,呼吸困难越明显,甚至可有端坐呼吸和发绀。
结核性胸膜炎的预防

1、控制传染源:结核菌涂片阳性患者是结核主要传染源,早期发现和合理治疗涂片阳性结核患者是预防结核病的根本措施。
2、接种卡介苗:实践证明接种卡介苗是预防小儿结核病的有效措施。
