
智齿是指人类口腔内牙槽骨上最里面的第三颗磨牙,从正中的门牙往里数刚好是第八颗牙齿,由于一般在16~25岁间萌出,此时人的生理、心理发育都接近成熟,有“智慧到来”的象征,因此被俗称为“智齿”,下面我们就一起来看一看人为什么会长智齿吧!
人为什么会长智齿?

智齿的萌出时间很晚,通常在青春期萌出,而一个人在青春期的时候颌骨跟成年人的差不多了,所以没有足够的空间让智齿长出来,导致智齿的生长受到了限制,所以只能朝其他方向发展,或者是只长出一部分,又或者是全部都被埋在颌骨里面。又因为生长的空间受到了限制,所以智齿只能朝临近的牙齿生长,从而与第三颗磨牙产生了一个角度,并且会对第三颗磨牙造成挤压。
阻生智齿的危害

1、冠周炎:智齿因阻生而使牙冠不能完全外露,牙冠周围的牙龈成袋状,极易积存食物、滋养细菌,当全身抵抗力下降时引起急性冠周炎。
2、间隙感染:冠周炎的炎症可能进一步向肌肉间隙内扩散造成间隙感染。
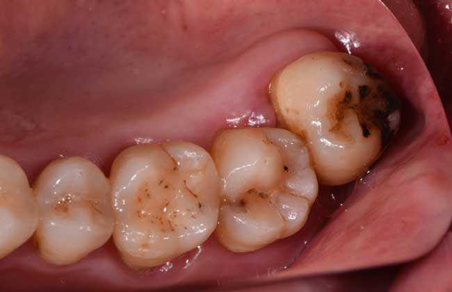
3、第二磨牙龋坏:向前倾斜的阻生智齿,因经常在邻牙间积存食物,易发生邻牙龋坏。
4、其它危害:阻生智齿还可能形成牙源性颌骨囊肿、骨髓炎、颞颌关节病等。
智齿一定要拔吗?

1、阻生智齿反复发作冠周炎,应予拔除。
2、智齿本身有龋坏或引起第二磨牙龋坏,或引起食物嵌塞时需要拔除。
3、如果第二磨牙破坏较大,松动明显不能保留时,可考虑拔除第二磨牙。
4、如如果智齿已萌出,有可能作为义齿基牙时,也可以保留。
5、正畸治疗时为预防前牙拥挤或正畸治疗后畸形复发,应拔除智齿。
6、完全骨埋伏阻生的智齿,怀疑引起某些神经症状的时候,应该拔除。
7、可能成为颞下颌关节紊乱综合征诱因的阻生智齿,应该拔除。
8、如果为垂直阻生且有对牙,病人又在萌出年龄,有足够间隙,估计可以萌出者,也可考虑作远中龈瓣切除术,不必拔除。
